产品基本信息
- BD-PA0019
- ETS-1; EWSR2; FLJ10768; ETS1
- ETS1 Mouse Monoclonal Antibody
- 抗原抗体
- ETS1
- WB,IHC,Elisa
- Human
- Ascitic fluid containing 0.03% New type preservative N.
- 2113
- Purified recombinant fragment of human ETS1 expressed in E. Coli.
- WB:1/500 - 1/2000 IHC:1/200 - 1/1000 Elisa:1/10000
- 50.4kDa
- 4℃; -20℃ for long term storage. Avoid freeze/thaw cycles.
- Mouse IgG1
- 下载
图片
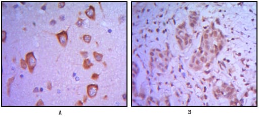
![]() | Immunohistochemical analysis of paraffin-embedded human brain tissue (A) and breast tumor (B) uing ETS1 mouse mAb. |



在线客服